LONDRES – La farmacéutica francesa Servier dijo el viernes que comprará DayOne Biopharmaceuticals, el fabricante de un fármaco para tratar tumores cerebrales pediátricos, en un acuerdo valorado en unos 2.500 millones de dólares.
Servier, una empresa privada, está pagando 21,50 dólares por acción en efectivo el primer día, una prima de aproximadamente el 68% sobre el precio de cierre de la biotecnología del Área de la Bahía el jueves.
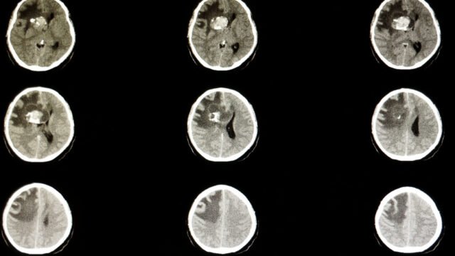
El foco del acuerdo Es el primer día de Ojimda.cualquier Recibió la aprobación de EE. UU. en 2024 Como tratamiento para el glioma de bajo grado en niños, la forma más común de cáncer cerebral en niños. Servier dijo que el acuerdo ampliará la cartera de medicamentos experimentales para tratar cánceres raros.
Este artículo es exclusivo para suscriptores de STAT+.
Desbloquee este artículo, además de la cobertura y el análisis diarios del sector biotecnológico, suscribiéndose a STAT+.
¿Ya tienes una cuenta? Acceso














